

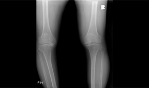
퇴행성 관절염의 진단에서 중요한 것은 증세와 방사선 소견입니다.
보통X-레이를 찍게 되는데, 질병 초기에는 정상이나 점차 진행되면서 X-레이상 관절 간격이
좁아지는대, 특히 체중이 실리는 부위가 비대칭적으로 좁아지게 됩니다 그 외에 연골 아래 부위가
경화되어 하얗게 보이고, 관절면 주위로 뾰족하게 튀어나오는 골극이 형성되기도 합니다.
하지만 X-레이 상에서는 55세 이상의 80% 75세 이상에서는 거의 전 인구가 퇴행성 관절염 소견을
관찰할 수 있으므로, 방사선 소견과 더불어 그에 일치하는 임상 증상이 있어야 퇴행성 관절염이라
진단합니다.

퇴행성 관절염의 치료 목적은 관절 통증을 줄이고, 관절 움직임을 유지시키며, 변형을 방지하려는 데 있습니다.

약물이나 수술을 하기에 앞서 우선적 해야 할 것이 다음 두 가지입니다, 이는 관절통의 예방뿐만 아니라, 현재 관절통이 있는 분들은 꼭지켜야 할 지침입니다.
퇴행성 무릎 관절염은 몸무게가 많이 나가는 사람에게 흔합니다, 그러므로 체중만 감량해도 무릎 관절통이 해결되는.경우가 흔합니다. 물론 노인분들이 체중을 감량하는 것이 쉬운 일은 아니지만, 1~2kg의 체중감량도 무릎 통증 완화에 도움이 됩니다.
퇴행성 관절염 환자는 통증 때문에 잘 못 걷기 때문에 운동하는데 많은 제한이 있습니다.
그러므로 운동을 할때는 체중이 무릎 등 관절에 실리지 않은 운동이 좋습니다, 예를 들면, 수영이나 자전거 타기이지요, 수영을 못 하는 경우에 수영장에서 걷는 것도 퇴행성 관절염에 좋은 운동입니다, 또한 누워서 다리를 펴서 올렸다 내렸다 하는 운동을 10~20회 정도씩 아침에 기상시외 자기 전에 해 보시기 바랍니다.