
단순어깨 통증으로 알고 있는 경우의 70% 이상이 오십견이 아닌 충돌증후군이나 회전근개 파열입니다.
![]() |
|
|---|---|
![]() |
|

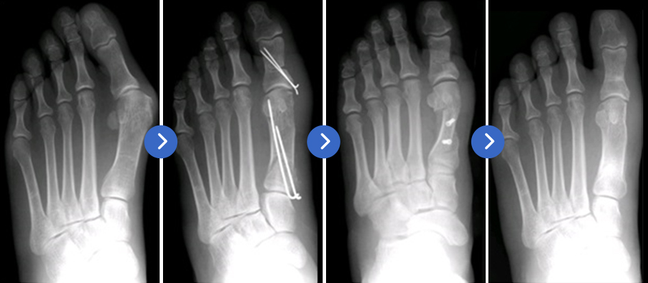
무지외반증은 발을 직접 보기만 하여도 변형된 형태를 알 수 있음으로 진단하기는 아주 쉽습니다.
그러나, 방사선 찰영과 의사의 진찰 소견을 종합하여, 실제 발가락과 관절의 형태를 정확하게 파악하여야 치료 방침이 결정됨으로
필요시에는 병원을 찾아야 합니다.

수술의 여부는 환자의 불편함 정도와 의학적 소견을 종합하여 결정하는 것이지만 가장 중요한 것은 환자가 주관적으로 느끼는 불편함의 정도이며 아무리 변형이 심하다고 해도 그것만으로 수술 여부를 결정하는 것은 아닙니다. 미용적인 측면과 단지 예쁜 구두를 신고 싶어서 수술 받기를 원하는 경우도 있는데 이러한 경우에는 수술 부위에 흉터가 남으며 수술 후에도 하이힐 등의 불편한 신발은 이후에도 증상의 재발 이나 통증이 생길 수 있음을 알고 있어야 합니다. 수술적 치료방법에는 매우 다양한 수술법이 있고 각각의 장단점이 있습니다. 환자의 나이, 변형의 심한 정도, 환자가 가장 불편하게 생각하는 부분 등을 고려하여 수술 방법을 결정하게 됩니다. 수술법은 일반적으로는 돌출 부위의 뼈를 깎아내고 외반된 중족골과 족지골을 잘라서 각을 교정하며 금속핀이나 나사못을 이용하여 고정하는 수술을 합니다. 외측 연부조직을 늘여주는 술기도 포함됩니다.